ข้ามไปยังเนื้อหาหลัก

จอประสาทตา

จอประสาทตา
ภาพแสดงจอประสาทตาปรกติของตาซ้าย

ภาพแสดงจอประสาทตาปรกติของตาซ้าย

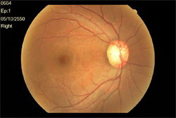
ภาพแสดงจอประสาทตาปรกติตาขวา

ภาพแสดงจอประสาทตาปรกติตาขวา สังเกตได้ว่าพื้นผิวมีสีส้มสว่างกว่าภาพแรก ซึ่งเกิดจากการที่มีเม็ดสี ( pigment ) น้อยในคนผิวขาว เมื่อเปรียบเทียบกับคนผิวเหลืองหรือผิวดำ

จอประสาทตา ลักษณะเหมือนมองผ่านกระจกฝ้า

จากภาพเห็นได้ว่าไม่สามารถถ่ายภาพจอประสาทตาได้ชัดเจน เนื่องจากต้อกระจกซึ่งอยู่ด้านหน้าของจอประสาทตาบดบังทางเดินแสงจากภายนอกเข้าสู่จอประสาทตา ลักษณะเหมือนมองผ่านกระจกฝ้า

แสดงจอประสาทตาของผู้ที่มีสายตาสั้นมาก

แสดงจอประสาทตาของผู้ที่มีสายตาสั้นมาก ส่วนใหญ่มักมากกว่า - 6.00 diopters พบว่าขั้วประสาทตาจะมีรูปร่างเอียง ( tilted disc ) มีการเปลี่ยนแปลงของเม็ดสีเป็นพื้นที่รอบขั้วประสาทตา เรียกว่า temporal crescent

แสดงลักษณะจอประสาทตาของผู้ที่มีสายตาสั้นมาก

แสดงลักษณะจอประสาทตาของผู้ที่มีสายตาสั้นมากเช่นกัน

ภาพแสดงการเปลี่ยนแปลงของขั้วประสาทตาในโรคต้อหิน

ภาพแสดงการเปลี่ยนแปลงของขั้วประสาทตาในโรคต้อหิน เห็นได้ว่าแอ่งขั้วประสาทตา ( พื้นที่สีซีดในขั้วประสาทตา ) มีขนาดใหญ่ เมื่อเปรียบเทียบกับเส้นผ่าศูนย์กลางของประสาทตา คือ มากกว่า 0.5 มิลลิเมตร

เบาหวานที่จอประสาทตาระยะแรก

เบาหวานที่จอประสาทตาระยะแรก ทำให้เส้นเลือดในตามีความผิดปรกติ มีการรั่วของไขมันจากเส้นเลือดฝังอยู่ที่จอตาเห็นเป็นจุดเหลือง ๆ ( exudate )

เบาหวานที่จอประสาทตาระยะกลาง

เบาหวานที่จอประสาทตาระยะกลาง เห็นจุดเลือดออกสีแดงเล็ก ๆ ( dot hemorrhage ) กระจายอยู่ รอยปื้นสีขาวปุย ๆ ด้านล่างของภาพ เกิดจากชั้นของเส้นประสาทตาขาดเลือด ( cotton wool spot )

เบาหวานที่จอประสาทตาระยะรุนแรง
เบาหวานที่จอประสาทตาระยะรุนแรง

เบาหวานที่จอประสาทตาระยะรุนแรง เห็นลักษณะเลือดออกมากขึ้น อาจเห็นเป็นรูปคล้ายเรือ ( boat shape hemorrhage ) หรือเห็นเส้นเลือดผิดปรกติ เกิดขึ้นใหม่ในจอประสาทตา ( neovascularization ) ซึ่งมีลักษณะเหมือนใยแมงมุมและหงิกงอ เส้นเลือดเหล่านี้ทำให้เกิดเลือดออกมากในลูกตาได้ และดึงรั้งจอตาให้หลุดลอกได้ จากรูปจะเห็นเส้นเลือดผิดปรกติบริเวณขั้วประสาทตา

ภาพแสดงเบาหวานที่จอประสาทตาหลังได้รับการยิงเลเซอร์ใหม่ ๆ

ภาพแสดงเบาหวานที่จอประสาทตาหลังได้รับการยิงเลเซอร์ใหม่ ๆ เห็นรอยเลเซอร์เป็นจุดขาว ๆ ( laser spots )

ภาพแสดงจอประสาทตาของผู้ที่เป็นเบาหวานขึ้นจอประสาทตา

ภาพแสดงจอประสาทตาของผู้ที่เป็นเบาหวานขึ้นจอประสาทตา ซึ่งได้รับการยิงเลเซอร์เพื่อควบคุมมิให้โรคดำเนินในทางที่แย่ลง

ภาพแสดงจอประสาทตาของผู้ที่เป็นเบาหวานขึ้นจอประสาทตา

ภาพแสดงจอประสาทตาของผู้ที่เป็นเบาหวานขึ้นจอประสาทตา ซึ่งได้รับการยิงเลเซอร์เช่นกัน

จุดรับภาพตรงกลางเห็นลักษณะรอยย่น ( wrinkle )

จุดรับภาพตรงกลางเห็นลักษณะรอยย่น ( wrinkle ) และมีการเปลี่ยนแปลงของเม็ดสี ( pigmentary change ) เกิดจากพังผืดในจอตา ( epiretinal membrane ) ซึ่งพบได้ในคนสูงอายุ หรือพบได้บ่อยขึ้นในผู้ที่เป็นเบาหวานที่จอประสาทตาหรือมีเส้นเลือดอุดตันในจอตา

ภาพแสดงเส้นเลือดดำจอประสาทตาอุดตัน

ภาพแสดงเส้นเลือดดำจอประสาทตาอุดตัน เห็นขั้วประสาทตาบวม ( disc edema ) คือ ไม่เห็นขอบเขตของขั้วประสาทตา จุดเลือดออกกระจัดกระจาย เส้นเลือดดำในจอตาหงิกงอ ( tortous retinal vein ) พบในคนสูงอายุที่เป็นโรคความดันโลหิตสูง หรือเบาหวานที่ควบคุมไม่ดี